Media room

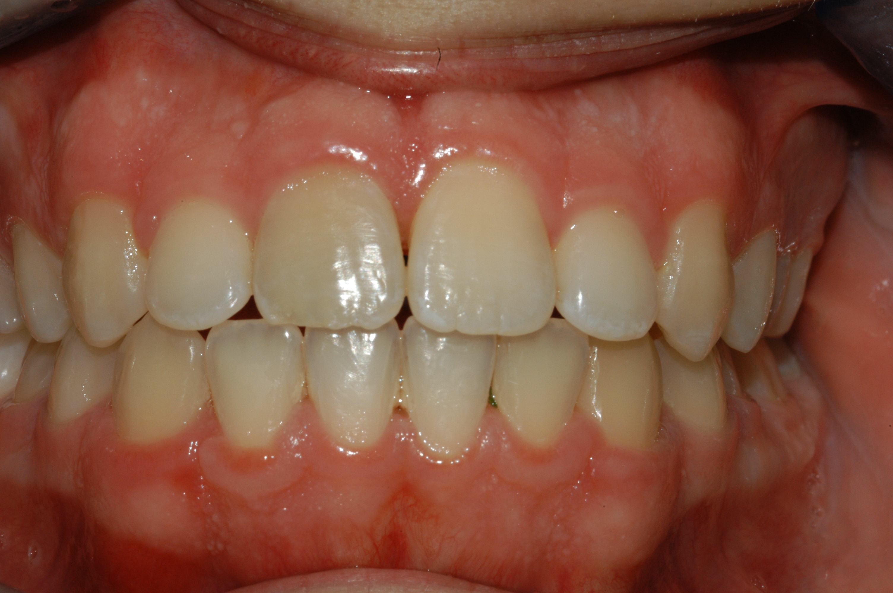
Trattamento ortodontico vestibolare con sbrigliamento di un incisivo centrale

Espansione palatale più ortodonzia fissa con sbrigliamento chirurgico di un incisivo centrale.

Photogallery: